CABINET DENTAIRE DES DRS EBLÉ & LE HEN
Chirurgiens-Dentistes à MEUCON
ACCUEIL
LE CABINET
HORAIRES & ACCES
URGENCES
NOS CONSEILS
NOS VIDEOS
08 Résidence Des Aqueducs, 56890 Meucon
+33 2 97 66 67 43
CABINET DENTAIRE DES DRS EBLÉ & LE HEN
Chirurgiens-Dentistes à MEUCON
ACCUEIL
LE CABINET
HORAIRES & ACCES
URGENCES
NOS CONSEILS
NOS VIDEOS
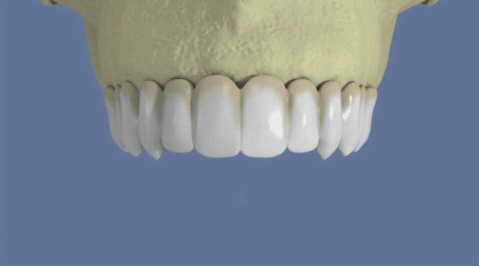
Maxillaire : bridge vissé sans fausse gencive
Vidéos 3D
Partager
Twitter
Partager
Partager
Envoyer
Copier
A la une
(10)
Informations pratiques
(9)
L'équipement du cabinet dentaire
(3)
L'orthodontie
(53)
Les choix esthétiques
(13)
Les dents chez l'adulte
(9)
Les dents de l’enfance à l’adolescence
(14)
Les dents et la santé
(32)
Les gencives
(31)
Les implants
(27)
Les pathologies bucco-dentaires
(33)
Les prothèses
(55)
Omnipratique
(231)
Prendre soin des dents
(29)
CABINET DENTAIRE DE DRS EBLÉ & LE HEN
Liens utiles
Politique de confidentialité et charte cookie
Mentions légales
Conditions Générales Utilisation
Rechercher
Nous trouver
Création par
Connexion